녹내장은 당뇨병성 망막병증 또는 황반변성을 포함한 실명의 주요 유형 중 한가지이지요. 현재 녹내장은 실명의 주요 원인 중 한가지로 알려져 있어요. 녹내장은 눈에서 받은 시각 정보를 뇌로 전달하는 중요한 역할을 하는 시신경이 퇴화하는 질환입니다. 녹내장 증상과 녹내장 초기증상에는 어떤 증상들이 있는지 알려드려요.
목차



녹내장이란
녹내장(綠內障)이라는 것은, 한자를 풀어내면 안구 내 녹색 장애물이라 하는 뜻이 있어요. 눈에 들어온 빛을 뇌로 전달하는 시신경에 이상 발생, 시야결손이 나타나는 질병이지요. 시신경에 이상이 생겨 시야 결손이 생기고 그대로 방치하게되면 실명에 이르기까지 합니다.
안압이 높아서 발생되는 가능성도 있지만 안압이 정상이어도 안압의 변동폭이 크거나 시신경으로 가는 혈액의 순환이 잘 안되서, 유전자 이상 과 같은 이유로 녹내장이 생기기도 합니다. 녹내장은 안구의 압력, 안압이 상승해서 시신경이 손상되는 경우 주로 발생하다고 알려져 있었지만 요즘은 안압이 정상적인데도 녹내장이 나타나는 경우가 많아졌다고 합니다.
녹내장 원인
안압은 방수라는 눈 속을 순환하는 액체의 생산과 배출의 균형에 의해 결정돼요. 방수는 섬모체라는 조직으로 만들어져, 홍채의 뒤를 통과해서 전방에 이르고, 섬유주를 거쳐 슈렘관으로부터 배출되어 눈외의 혈관으로 흐르는 정해진 경로로 순환하고 있어요. 이 방수의 순환에 의해, 거의 일정한 압력이 눈 내에 발생해서 안구의 형상이 유지돼요. 이 압력을 안압이라고 합니다. 즉, 안압이란 눈의 경도라고 할 수 있어요.



- 60세 이상인 경우 : 녹내장은 나이가 들수록 더 흔해져요.
- 고혈압, 심장병, 당뇨병, 겸상 적혈구 빈혈등의 특정 질환이 있는 경우
- 중앙에 얇은 각막이 있는 경우
- 극도의 근시 및 원시가 있는 경우
- 눈 부상 및 특정 유형의 눈 수술을 받은 경우
- 장기간 코르티코스테로이드 약물 특히나 안약을 복용하는 경우
- 안압이 높은 경우
- 민족성 - 아프리카, 아시아 출신의 사람
- 가족력
녹내장 증상
1. 녹내장 증상 - 메스꺼움
녹내장이 발생하다 보면, 메스꺼움과 구토 증상이 동시에 나타날 수 있다고 합니다.



2. 녹내장 증상 - 무증상
녹내장은 소리 없는 시력 도둑이라 하는 말이 붙을 만큼, 증상이 없는 경우가 대부분이지요. 그래서 우연히 안과에 들렀다가 녹내장을 진단받는 경우가 대부분이라고 해요.
3. 녹내장 증상 - 안구 충혈
녹내장은 안통과 두통뿐 아니라, 시신경 손상으로 인한 안구 충혈을 일으킬 수 있어요. 만일, 이런 안구 충혈이 지속하여 나타나는 경우 녹내장을 의심해볼 수 있어요.
4. 녹내장 증상 - 시력 저하
녹내장은 증상이 없는 경우가 대부분인데 시력이 서서히 감소한다는 특징이 있어요. 어느 날 물체가 흐릿하게 보이거나, 시력이 감소한 것 같다는 느낌을 받을 경우 녹내장을 의심해볼 수 있어요. 녹내장 증상이 급격하게 갑자기 악화되면서 발생할 경우 급성 폐쇄각 녹내장일 가능성이 있어요. 또 이러한 증상이 서서히 진행되는 만성 개방각 녹내장이 있는데 이 경우는 자각이 어려워 치료 시기를 놓치는 경우도 있다고 하니 알게 모르게 눈이 아픈 증상이 잦다거나, 이유를 모르는 두통이 생긴다면 눈의 건강이 안좋은 것일 수 있으므로 잘 체크해야겠습니다.



5. 녹내장 증상 - 안통과 두통
녹내장 증상이 발생하다 보면 참을 수 없는 안통과, 두통 등을 동반한 증상이 나타나게 돼요.
녹내장 치료방법
약물치료
많은 녹내장에서는 약물요법이 치료의 기본이 돼요. 현재는 여러가지 약효를 가진 점안약이 발매되고 있고 녹내장의 종류, 중증도, 안압의 높이 등에 따라 처방돼요. 한 종류의 안약만으로 효과가 적다고 판단되면 여러 안약을 조합해서 처방돼요. 점안은 1회에 1방울, 복수일 때는 5분 이상 비우는 것이 가능한 한 부작용을 줄여주고 확실히 효과를 얻는 점안 방법이지요. 그리고 안압을 떨어뜨리는 음료도 있지만 전신의 부작용이 강하게 나올 수 있으며 내복을 할 수 없는 경우도 있어요. 안약은 건강 상태를 유지하기 위한 것으로 보입니다. 증상이 개선되지 않는다고 하여 그만두지 않고, 장기적으로 끈기 있게 계속해 나가는 것이 중요합니다.
수술
약물요법이나 레이저치료가 효과가 없을 때 행해지는 치료이지요. 대략적으로, 방수를 눈 밖으로 스며나게 세공을 하는 수술과, 섬유주를 절개해 방수의 배출을 간편하게 해 주는 수술 2가지가 있죠. 그리고 방수의 배출을 완화하기 위하여 유치하는 기구도 개발되고 있어요.
이런 수술 방법은 사례에 따라 선택돼요. 수술을 해도 증상이 완화되는 것이 아니라 어디까지나 안압을 낮추고 진행을 막는 것이 목적이지요. 녹내장의 수술 방법은 해마다 개량이 진행되어 치료 성적도 굉장히 개선되어 왔지만, 합병증도 있을 수 있으며,, 수술 후에 재수술이 필요할 가능성도 있죠. 그리고 안압이 잘 내려가도 정기적인 관리가 필요합니다.



레이저 치료
레이저 치료에는 주로 두 가지 방법이 있어요. 하나는 홍채에 구멍을 뚫어 눈 안의 방수의 흐름을 바꾼다는 것으로, 많은 폐색 구석 각 녹내장이 이 방법에 의해 치료 가능합니다. 홍채에 구멍을 열 때 레이저를 사용합니다. 또 하나는 섬유주에 방수의 배출을 촉진하기 위한 레이저 치료이지요. 일부 개방각 녹내장에 효과가 있어요. 레이저 치료의 통증은 아주 가볍고 외래로 할 수 있어요.
녹내장 예방법
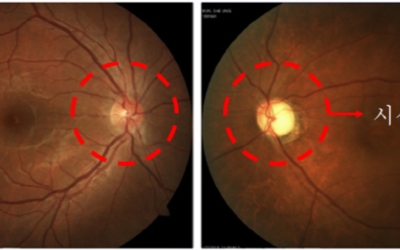
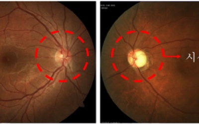
녹내장 증상은 알아채기 힘든 질환인만큼 예방이 중요한 법인데요 녹내장은 특별한 예방방법이 따로 있는 것은 아니에요. 다만 조기 발견 하는 것이 가장 중요하므로 정기검진을 제대로 받는 것이 중요합니다. 초기 진당을 위해서는 시신경의 모양을 확인하는 것이 역시 중요합니다. 건강검진 진행 시, '시신경 유두함몰비 증가' 과 같은 녹내장 가능성을 비추는 소견이 있으면, 녹내장 정밀검사가 필요합니다. 그렇기 때문에 주기적으로 안과 검진을 받는 것이 중요하며, 특히나 40세 이상이라면 1년에 한번씩 정기검진을 받는 것이 좋아요.



녹내장 증상에 관하여 알아봤어요. 읽으시는 분께 유익한 내용이 되었기를 바래요. 반드시 기억해 두시고 건강을 위해 챙겨보세요. 감사합니다.
다른 사람이 많이 본 글
모로실 효능 다이어트에 인기인 이유
요즘 다이어트 식단을 짜고 계속해서 지키고 있는 과정 중 모로실 다이어트에 관하여 우연히 접하게 되어 알아보게 되었어요. 모로실은 모로 오렌지의 추출물이라고 합니다. 이번 글은 모로실
goodsalm.com
이빨 빠지는 꿈의 의미와 해석 모음
꿈은, 때로는 우리가 깨닫지 못하는 일에 관하여 알리거나, 경고나 주의를 주기도 합니다. 이러한 걸 예지몽이라고 합니다. 같은 꿈이라도 해석이 다르다는 사실 알고 계신가요? 이빨 빠지는 꿈
goodsalm.com
댓글